张黎明教授课题组与合作者报道基于阳离子树状化葡聚糖的纳米复合物应用于伤口敷料
细菌来源的葡聚糖是一种存在的天然多糖,主要由α-(1→6)连接的葡萄糖单元组成。葡聚糖具有低成本、生物降解性、生物相容性和非免疫原性等优点,因此葡聚糖及其衍生物常被用作医学应用材料,而最广泛的应用是用作伤口敷料。糖尿病足溃疡创面愈合障碍与创面部位基质金属蛋白酶9 (MMP-9) 的过表达有关。因此旨在降低创面部位MMP-9水平以促进受损组织再生的策略,对于改善糖尿病足溃疡 (DFU) 的愈合至关重要。
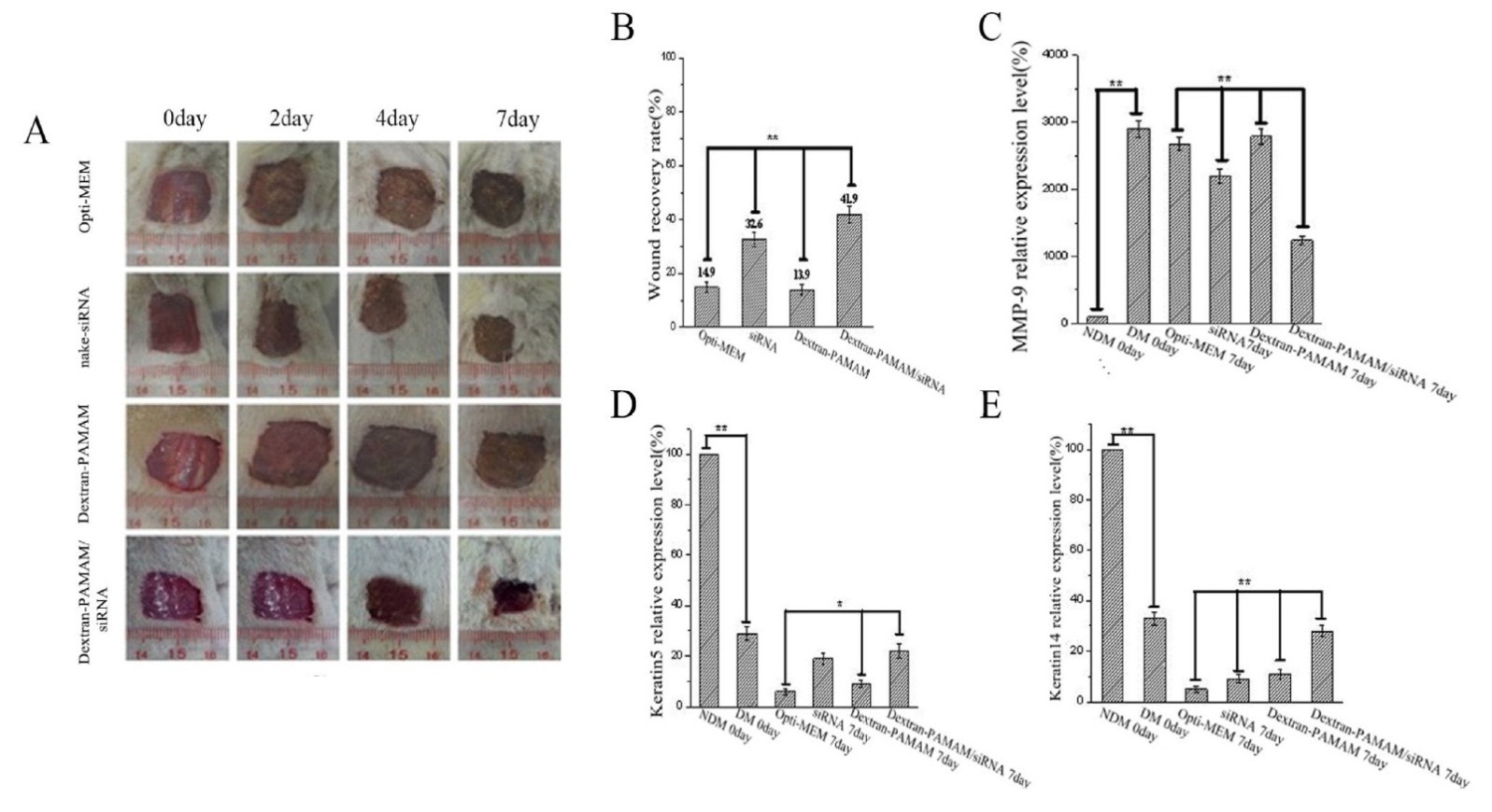
为了实现这一目标,张黎明教授课题组与合作者利用通过点击化学反应和酰胺化反应,合成并测试了第四代聚酰胺-胺树枝状分子树状化葡聚糖 (Dextran-PAMAM) 作为基因载体 (Figure 1),获取MMP-9靶向siRNA (siMMP-9)。Dextran-PAMAM含有丰富的阳离子胺基,可通过静电相互作用与阴离子siRNA结合。凝胶电泳检测了Dextran-PAMAM / siMMP-9纳米复合物的形成,在TEM图像中其粒径大小约为100-150 nm,在4℃、37℃条件下至少稳定24小时没有观察到其粒径大小的变化,这些性质满足高效基因传递的要求。所制备的纳米复合物能有效内吞,对HaCat细胞毒性低。Dextran-PAMAM能有效传递siMMP-9,并能显著抑制HaCat细胞中MMP-9的表达。糖尿病大鼠创面模型显示,局部应用Dextran-PAMAM / siMMP-9纳米复合物可有效抑制皮肤创面组织中MMP-9的表达,从而加速创面愈合 (Figure 2)。
以上研究成果近日以 “Efficiency and Safety of Dextran-PAMAM /siMMP-9 Complexes for Decreasing Matrix Metalloproteinase-9 Expression and Promoting Wound Healing in Diabetic Rats” 为题,发表在美国化学学会期刊 Bioconjugate Chemistry (2022,33,Articles ASAP) 上。广州医科大学附属第三医院罗恒聪主治医师和本课题组麦开锦博士为文章共同第一作者,张黎明教授和张莹主任医师为论文共同通讯作者。该研究工作得到广东省基础与应用基础研究基金自然科学基金面上项目(No.2021A1515111148,No.2021A1515010898)、广东省科技计划项目 (No. 2020B1111170009)、国家自然科学基金项目 (No. 51273216) 和聚合物复合材料及功能材料教育部重点实验室等支持。
Figure 1. (A) Synthetic scheme of Dextran-PAMAM. (B) FTIR spectra and 1H NMR spectra of dextran, azidized dextran, dextran-PAMAM and PAMAM. (C) XPS survey spectra. (a) C1s core-level spectra (b) and N1s core-level spectra (c) of dextran, oxidized dextran, azidized dextran and Dextran-PAMAM.
Figure 2. In vivo wound healing and MMP-9, keratin 5, and keratin 14 expression. (A) Wound healing on 0, 2, 4, and 7 days. (B) Wound healing rates by day 7 in different groups. (C) MMP-9 mRNA level. (D) Keratin 5 mRNA level. (E) Keratin 14 mRNA level. MMP-9, keratin 5, and keratin 14 mRNA levels measured on day 7 were compared to 0 days in nondiabetic rats and diabetic rats.
论文链接: https://doi.org/10.1021/acs.bioconjchem.2c00487
初审:袁湛楠
审核:田雪林、许俊卿
审核发布:李伯军


